Recognising Structures (Cambridge (CIE) A Level Biology): Revision Note
Exam code: 9700
Recognising structures in the gas exchange system
Trachea
A tracheal cross-section shows the large lumen, which air has to travel through
The innermost cells of the trachea are the ciliated epithelia with projections called cilia

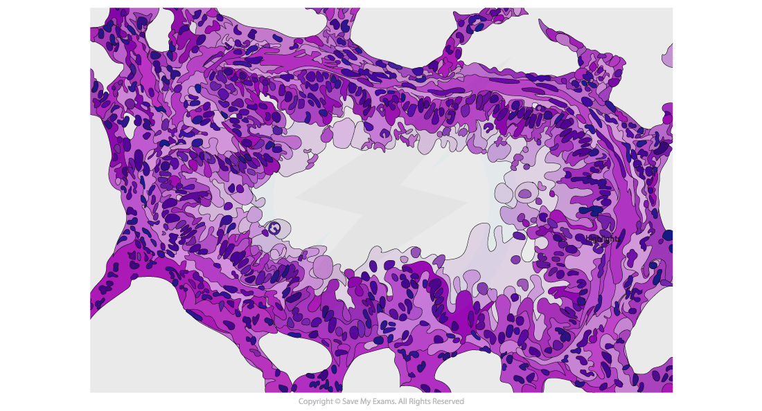
The cells of the ciliated epithelium are shown in the light micrograph below
The cells are tightly packed and interspersed with goblet cells, which are shown in light grey

The density of the cilia are shown in the electron micrograph below
The cilia are essential for sweeping bacteria and dust-filled mucus away from the lungs and up the trachea into the back of the mouth
This mucus is then swallowed, with any pathogens hopefully destroyed by the acidic conditions in the stomach

Bronchi
Bronchi are distinctive from the trachea because their lumen is narrower (around 8-9mm instead of 18mm
However, like the trachea, they are lined by ciliated epithelium

Bronchioles
Bronchioles are approximately 1mm or less in diameter
Smooth muscle and cuboidal epithelium are found in their walls

Alveoli
Alveoli have a sponge-like appearance under a microscope due to their air spaces.
They are surrounded by an extensive capillary network and are lined by squamous epithelium

Walls of the trachea and bronchus
Trachea
The tracheal lumen is around 15 to 20 mm and is lined by ciliated epithelia
The tracheal wall is surrounded by strong and flexible cartilage which flexes during breathing
The smooth muscle of the trachea constricts and allows air to be expelled with more force

Bronchus
Like the trachea, the bronchus is lined with ciliated epithelium
The cartilage hoops provide structural support to the bronchi and the gland ducts secrete mucus in the bronchial tubes

Unlock more, it's free!
Was this revision note helpful?